암의 증상은 암발병 부위에 따라 다릅니다. 암을 초기에 발견하지 못하고 다른 부위로 전이되어 버리면 치료가 길어지거나 치료시기를 놓쳐 버릴 수 있습니다.
주요 암발병 부위의 초기증상에 대해서 잠시 살펴보겠습니다.

1. 식도암의 초기증상 및 증상
식도암의 초기 증상은 거의 자각하지 못할 수 있으며, 평소 건강진단 과정에서 발견되는 경우가 많습니다.
식도암은 어느 정도 진행되면 본인이 자각할 수 있는 증상으로, 가슴과 허리통증, 체중 감소, 기침, 목소리 잠김 현상 등이 있습니다.
또한 암이 종양이 커지면 식도 안쪽이 좁아져서 음식물을 넘기는 것이 불편해질 수 있습니다.



2. 위암의 초기증상 및 증상
위암의 초기증상은 거의 없지만, 위암의 대표적인 증상은 통증과 식욕 저하, 속 메스꺼움 등이 느껴질 정도라면, 이미 어느 정도 암이 진행되었을 가능성이 있습니다.
위암은 40대 이후에 발병률이 높고, 조기 발견한다면 생존율은 90% 이상이지만, 다른 장기로 전이하는 등으로, 어느 정도 암이 진행되어 있는 상태라면 생존율은 10% 미만으로 크게 떨어집니다.



3. 피부암 흑색종 초기증상 및 증상
손톱은 매끈하고 연한 살색이며 자라나는 밑부분은 흰색을 보여야 하지만, 손톱 밑 피부암은 줄무늬처럼 손톱에 나타 날 수 있습니다.
통증이 없다고 무심코 넘기지 말고, 이런 증상이 발생하면 피부암 흑색종을 의심해 보아야 합니다.



4. 폐암의 초기증상 및 증상
폐암은 초기증상이 거의 없는 것으로 알려져 있습니다. 하지만 암이 발생하는 곳에 따라서 초기에 기침 또는 가래와 같은 일반적인 호흡기 증상이 나타 날 수 있습니다.
또한, 폐의 위쪽에 생기는 암인 '판코스트'종양이 생겼을 때 척추 신경을 건드릴 수 있는데, 이는 얼굴에 있는 교감신경의 손상으로 이어져, 한쪽눈 윗 눈꺼풀 처짐 증상, 한쪽 동공이 다른 쪽에 비해 작아지는 증상, 한쪽 얼굴에만 땀이 나지 않는 증상이 나타날 수 있습니다.
폐암이 어느 정도 진행되면 기침이나 가래 등의 일반적 호흡기 증상 외에, 호흡 곤란이나 헐담 등이 나타나고 가슴속 흉통 증상이 나타납니다.
5. 전립선 암의 초기증상 및 증상
전립선 암의 초기 증상은 거의 없으며, 진행이 완만한 암으로 알려져 있으며, 발병했다 해도 자각 증상이 특별히 없습니다.
암이 어느 정도 진행되면 커진 암종양이 방광을 물리적으로 압박하여 소변보기가 어려울 수 있으며, 잔뇨감이나 빈뇨 등이 발생하기도 합니다.
또한, 요추나 골반 등의 뼈로 전이하기 쉽고 이곳에 강한 통증이 발생하기도 합니다.



6. 직장암의 초기증상 및 증상
직장암은 발병 초기부터 혈변을 일으켜서 비교적 발견하기 쉬운 암입니다. 하지만, 초기증상이 치질 등에 의한 출혈이라고 오인하여 초기발견을 놓치는 사례가 많습니다.
암이 진행되면 출혈양이 증가하여 빈혈 증상이 생기거나 대변이 가늘어지고, 잔변감과 복통이 발생할 수 있습니다. 또한, 전이가 발생하게 되면 생존율이 현저히 낮아집니다.



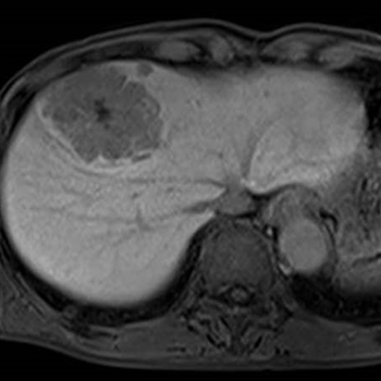
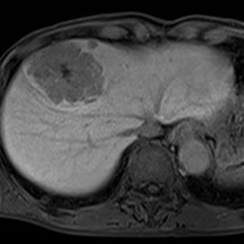
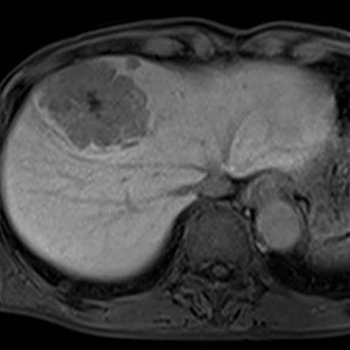
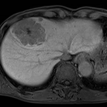
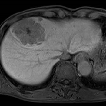
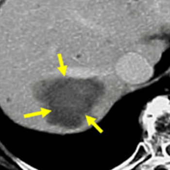
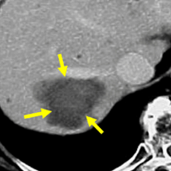
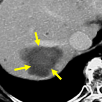
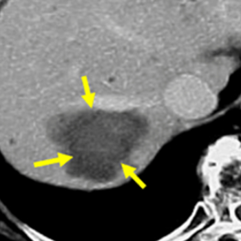
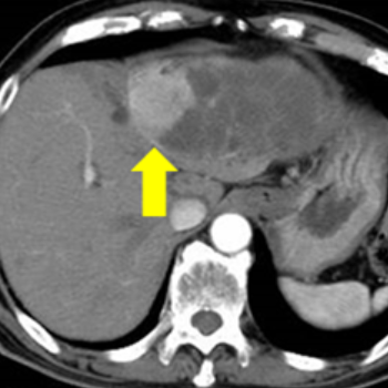
7. 간암의 초기증상 및 증상
간암의 경우 알려진 초기증상은 거의 없지만, 드물게 담관 주위에 암이 생기면 초기 무렵부터 황달이 보일 수 있습니다.
암이 간 내에서 어느 정도 진행하여 커지게 되면, 발열과 복수, 혈관의 팽창 등의 증상이 발생합니다. 또한 담관이 막히면서 황달이 보이는 특징이 있으며, 이런 증상이 나타나면 치료를 하더라도 생존율은 매우 적습니다.



8. 결론 및 요약
암은 종류에 따라 증상들이 다릅니다. 하지만 모든 암의 공통적인 것은 조기에 발견한다면 생존율이 매우 높다는 것입니다.
건강 검진을 진행하다가 암을 조기발견하는 경우가 많으므로, 건강 검진을 빼먹지 말고 꾸준히 받는 것이 중요합니다.
주윤발 뇌졸중 설, 뇌졸중 원인 증상(전조증상) 예방, 뇌졸중 골든타임
주윤발 뇌졸중?제가 학창 시절 제일기억나는 홍콩배우 하면 역시 주윤발을 빼놓을 수가 없습니다. 홍콩 누아르 영화의 선두주자였던 대배우 주윤발이 뇌졸중으로 혼수상태에 빠졌다는 보도가,
moowall.co.kr
다이어트 식단 : 다이어트 음식 : 다이어트 식단 짜기
코로나19로 인해 활동량이 적어진 탓에 비만율이 크게 증가했다고 합니다. 다이어트는 활동량과 운동도 중요한 부분을 차지하지만, 매일 먹는 식사사의 다이어트 식단도 매우 중요합니다. 1. 다
moowall.co.kr
가글 사용법 : 올바른 가글법 : 양치후 가글은 치아착색
간단히 입냄새 제거를 한다면 십중팔구 구강청결제로 하는 '가글'을 떠올립니다. 양치질을 하기엔 상황이 여의치 못할 때 간단하게 구강청결제를 사용한 가글로 해결할 수 있습니다. 1. 가글 성
moowall.co.kr
술 먹고 약먹으면 괜찮을 까요?
술 먹고 약을 먹으면 안 된다는 것쯤은 모두들 상식으로 알고 계시리라 생각합니다. 하지만 "조금만 마시면 괜찮겠지" 또는 "시간적으로 텀을 두고 먹으면 괜찮지 않을까?"라는 등의 생각으로 같
moowall.co.kr
'건강관련' 카테고리의 다른 글
| 안검하수 원인, 안검하수 수술, 안검하수 수술 비용, 안검하수 보험 (0) | 2023.08.01 |
|---|---|
| 우울증 초기증상, 우울증 종류, 증상 및 의외의 증상, 우울증 자가진단 테스트 (0) | 2023.07.18 |
| 주윤발 뇌졸중 설, 뇌졸중 원인 증상(전조증상) 예방, 뇌졸중 골든타임 (0) | 2023.07.14 |
| 열대야 기준온도, 열대야 극복 방법, 열대야 숙면하는 방법 (0) | 2023.07.06 |
| 케일 효능, 케일 부작용, 케일 먹는 법(방법) (0) | 2023.07.04 |
댓글