
일상생활을 하면서 단차가 있는 곳에서 발을 잘못 디뎌서 넘어진다거나, 교통사고, 무리한 운동, 무거운 물건이 발등 위로 떨어진다거나 하는 등에 의해서 발골절은 언제라도 발생할 수 있습니다.
발골절이 되지 않더라도 발쪽에 충격을 받으면, 강한 통증과 더불어 멍이 들고, 부어오르는 경우가 있는데, 이는 사실 시각적으로 보이는 것보다 발 안쪽의 근육 또는 인대 등의 손상을 동반하는 경우가 있으므로 전문의의 진찰을 반드시 받아 보는 것이 좋습니다.
발골절의 종류에대해서 간단히 몇 가지 알아보겠습니다.

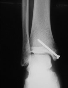
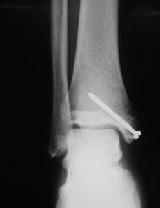
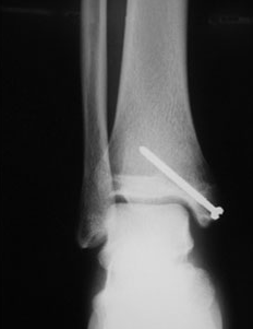
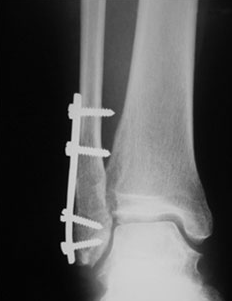
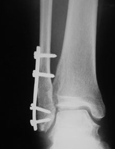
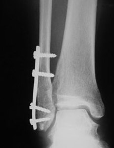
1. 내과 골절
발의 관절이 안쪽으로 강하게 뒤틀어지면 발목과 연결된 거골에 밀려 내과골절이 발생할 수 있고, 뼈가 어긋남 없이 골절되었다면 깁스 등의 보존적 치료등을 하게 됩니다. 하지만, 골절부위가 어긋난 버린 상태라면 스크루핀 등으로 고정하는 수술을 할 가능성이 있습니다.

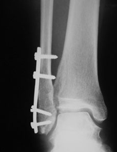
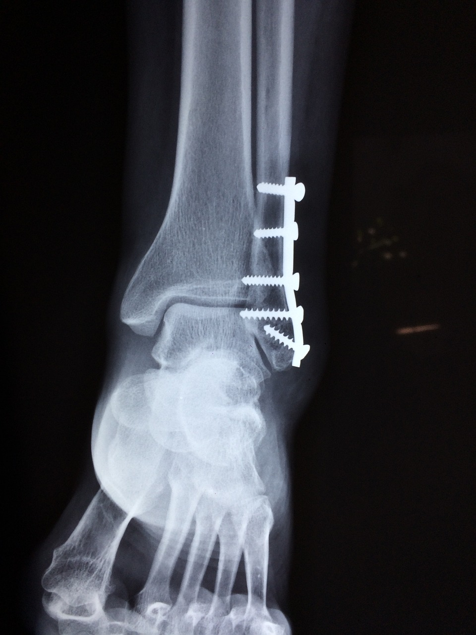
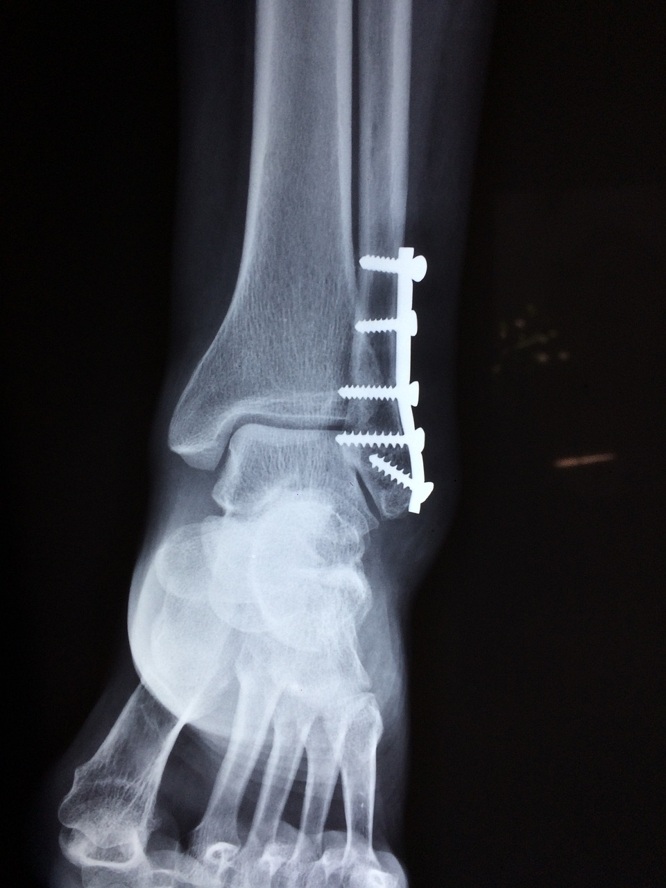
2. 외과 골절
발 관절이 강하게 바깥쪽으로 비틀어지게 되면 거골에 밀려 외과골절이 발생할 수 있고, 이는 나선형으로 꺾이는 경우가 많습니다. 뼈가 어긋남이 없다면 깁스등의 보존적 치료가 가능하며, 어긋남이 심하다면 플레이트와 나사등을 이용하여 고정하는 수술을 할 가능성이 있습니다.


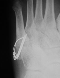
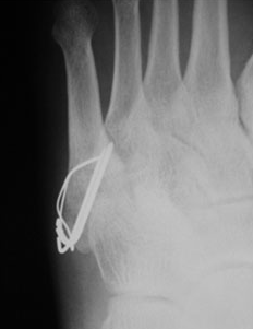
3. 제5중족골 골절
중족골은 발의 5개로 이루어진 뼈로 몇 번째 뼈가 골절되느냐에 따라 앞에 숫자가 붙습니다. 제5중족골은 새끼발가락 쪽 뼈에 해당합니다. 보행 중 바닥의 단차로 안쪽으로 발이 비틀렸을 때 자주 일어나며, 뼈의 어긋남이 없는 골절은 깁스로 고정하거나 압박붕대로 고정하는 등의 보존치료등을 시행하며, 어긋남의 편차가 크다면 강선과 와이어 등으로 고정하는 수술을 하게 될 가능성이 있습니다.


4. 중골 골절
높은 곳에서 뛰어내리거나 해서 발뒤꿈치를 바닥에 강하게 접촉했을 때 주로 나타 납니다. 이것은 졸골 위에 있는 거골과의 관절면에 편차를 발생시킬 수 있는데, 이 어긋나는 부분에 체중이 실리게 되면 매우 강한 통증이 올 수 있습니다.
중골 골절의 치료는 다른 발골절의 치료보다 어렵다고 알려져 있으며, 부상 당시의 상황에 따라 골절의 형태가 복잡해지고, 후유 장애로 남아 오랫동안 발 통증이 지속될 수 있습니다.

5. 거골 골절
교통사고등에서 주로 보이는 골절입니다. 이 골절의 특징으로서 혈류장애에 의해 뼈의 괴사를 일으킬 수 있다고 알려져 있어 주의가 필요합니다. 골절부의 어긋남이 없다면 깁스 등의 보존적 치료로 가능하고, 어긋남이 있다면 스크루 등을 이용하여 수술을 할 가능성이 있습니다.

6. 발관절 탈구 골절
오토바이 사고나 운동 등으로 발 관절에 강한 힘이 가해지면 외과와 내과의 골절과 함께 발관절의 외방 탈구가 일어나게 되는데, 이때 발관절은 강하게 변형되어 부어오르게 되며 대부분은 발관절의 인대 손상등을 동반하게 됩니다.
외과와 내과를 플레이트와 강선등으로 고정시키고, 특히 외과의 정확한 정복과 고정이 중요하며 인대가 끊어졌다면 봉합 수술을 병행할 수 있습니다.
발골절의 경우 골절치료는 환자의 골절부위와 양상에 따라 깁스등의 보존적 치료를 하거나, 반드시 수술이 필요한 경우가 있으므로, 발에 통증이나 붓기등의 증상이 있다면 전문의의 진찰을 통해 적절한 치료를 받는 것이 빠른 쾌유의 지름길입니다.
족저근막염
족저근막염은 보통 무리하게 달리기를 했다거나, 등산이나 격렬한 스포츠를 하고 난 뒤 나타나는 증상으로, 발바닥이 찢어지듯이 아픈 현상을 동반하며, 달리기 선수와 같은 스포츠 선수들에게
moowall.co.kr
종아리 통증
종아리 통증 종아리 통증의 원인은 다양합니다. 단지 근육통처럼 보이더라도 실은 심각한 질병이 숨어 있는 경우도 있습니다. 근육통은 스포츠 등으로 손상된 "근육 섬유"라는 것이 복구될 때
moowall.co.kr
'건강관련' 카테고리의 다른 글
| 섭생 (0) | 2023.05.19 |
|---|---|
| 손가락 뚝뚝 거리는 소리 괜찮을까? (0) | 2023.05.17 |
| 오리고기가 몸에 좋다고? (0) | 2023.05.03 |
| 기억력을 방해하는 음식은? (0) | 2023.05.02 |
| 알르레기성 비염 (1) | 2023.04.28 |
댓글